
Ho intrapreso il mio percorso professionale seguendo le orme di mio papà, medico chirurgo odontoiatra, e la vocazione alla disciplina medica.
Dopo intensi anni di studio mi sono reso conto sin da subito che l’obbiettivo mio principale fosse quello di far sta bene e rendere felici i miei pazienti restituendogli un sorriso mai avuto.
Avevo capito che potevo, tramite i trattamenti odontoiatrici, unire l’aspetto medico con quello psicologico.
Il sorriso è indiscutibilmente il miglior biglietto da visita e presentarsi con una dentatura sana, armoniosa e curata non solo migliora l’aspetto esteriore ma trasferisce positività e benessere interiore.
Per realizzare tutto ciò cerco di essere attento e scrupoloso in ogni trattamento, nei confronti di ogni caso clinico, cercando di valorizzare ogni paziente come se fosse un membro della mia famiglia.
Laureato a pieni voti in odontoiatria e protesi dentaria, ho frequentato corsi di specializzazione in ortodonzia oltre che al conseguimento di un master di secondo livello in ortognatodozia.
Socio dal 2019 dell’associazione Nazionale Dentisti Italiani(ANDI).
Accreditato in filler labbra e rughe periorali con acido ialuronico.
Provider ufficiale, certificato e accreditato Invisalign con oltre 1000casi ultimati.
L’apparecchio invisibile è la terapia più richiesta dai pazienti attenti all’estetica.
Tra le migliori tecnologie dei tempi moderni, una menzione speciale va ad invisalign creatore e azienda leader numero 1 del settore.
Grazie a questi allineatori possiamo conquistare insieme in poco tempo e senza fastidi dell’apparecchio di metallo fisso, un sorriso perfetto.
I vantaggi:
È trasparente
- Nessuno si accorgerà che lo indossi! Sarai libero di presiedere qualsiasi evento.
È rimovibile
- Quindi potremo spazzolare al meglio sempre sia i nostri denti che le mascherine trasparenti.
È pratico
- Grazie allo studio del caso digitale, le visite saranno brevissime e saranno effettuate per gestire insieme i progressi.
È digitale
- Addio pastoni dentali e imperfezioni.
Con lo scanner dentale digitale itero personale potremo prendere un impronta rapida e precisa.
È su misura
- Ogni aligner e ogni piano di trattamento sarà totalmente personalizzato.
Sbiancamento

Non tutti posso sbiancare i denti quindi dopo una visita accurata e controllato lo stato orale, gengivale e dentale, decideremo se procedere o meno.
Nonostante abbia un obiettivo estetico, lo sbiancamento rimane a tutti gli effetti un trattamento odontoiatrico, quindi occhio al fai da te.
I denti possono macchiarsi o ingiallarsi a causa dell’azione di diversi fattori, quali il fumo di sigaretta, il te’ oppure il caffè e anche per una scarsa igiene orale etc.
Grazie all’ausilio dell’azione del perossido d’idrogeno si andranno ad eliminare tutte i pigmenti scuri, decideremo quindi se scegliere lo sbiancamento professionale alla poltrona tramite l’utilizzo laser/lampada led oppure domiciliare grazie all’ausilio dello sviluppo di die mascherine ed un gel sbiancante.
Per saperne di più non esitare e fissa un appuntamento. (anche in video call)
Conservativa

La conservativa è una branca dell’odontoiatria che si occupa di ricostruire denti o parti di essi compromessi da fratture e da carie, mirando a ricostituire la funzionalità e l’estetica del dente.
Grazie a questo trattamento preveniamo l’eventualità di dover ricorrere ad altri interventi come la devitalizzazione o peggio l’estrazione del dente.
Le fratture possono avvenire per incidenti, traumi o anche a causa di parafunzioni quali bruxismo (digrignamento notturno).
La carie è una malattia degenerativa dei tessuti duri del dente (smalto dentina cemento) ad eziologia batterica, che ha origine dalla superfice dell’organo e procede in profondità, coinvolgendo la polpa dentale.
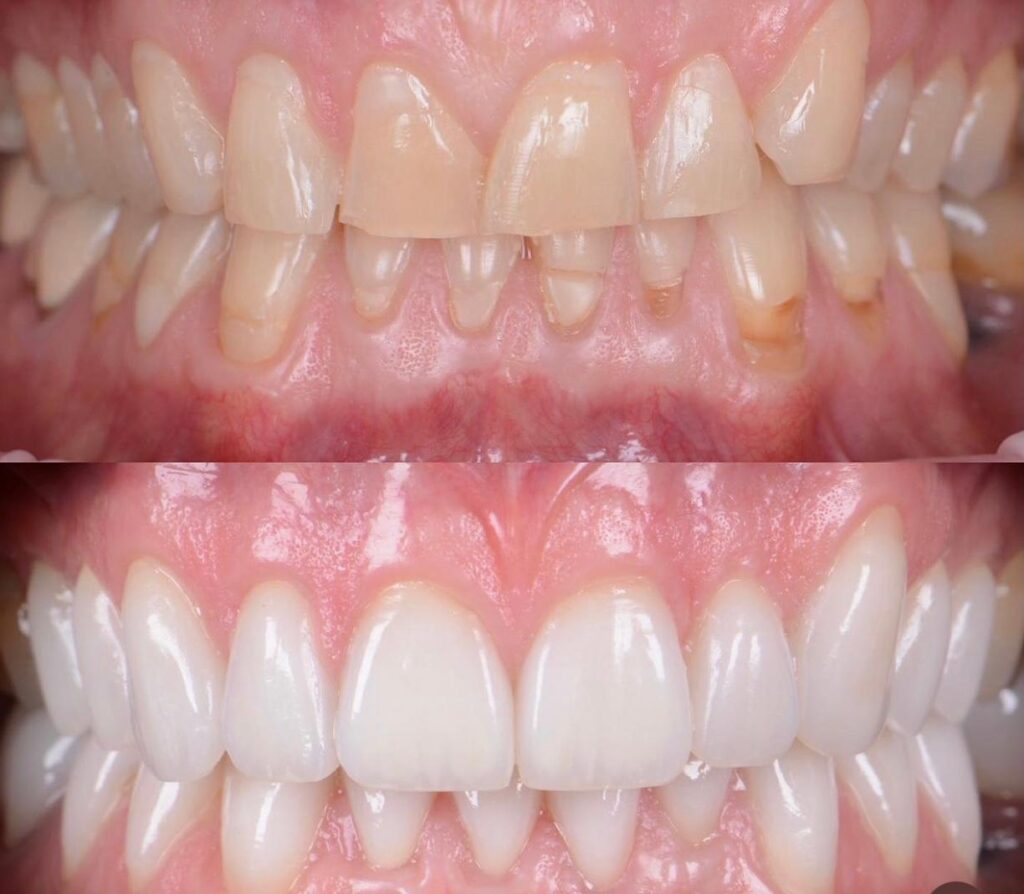
Faccette dentali
Le faccette indirette sono manufatti protesici personalizzati, progettati per ogni singolo dente e creati in un laboratorio odontotecnico. Questo tipo di faccette viene solitamente realizzato con materiali resistenti e di grande impatto estetico, come la ceramica, che garantiscono risultati duraturi e capaci di imitare perfettamente l’aspetto dei denti naturali.
Il processo per l’applicazione delle faccette inizia con un’analisi approfondita del sorriso e dell’occlusione del paziente, durante la quale il dentista valuta anche la forma, il colore e altre caratteristiche desiderate.
Successivamente, vengono prese impronte e scansioni con scanner 3d digitale di precisione dei denti per assicurare una vestibilità ottimale. Una volta realizzate in laboratorio, le faccette vengono cementate sui denti.
A seconda del caso i denti subiranno una limatura minima che va dai 0,1 mm ai 0,7 mm.

Perché si applicano ?
Le faccette dentali si utilizzano su un dente fondamentalmente sano, ma con problemi estetici, tra i quali:
- Discromie (denti macchiati permanentemente) che non si possono migliorare con le tecniche di sbiancamento.
- Diastemi (spazio tra i denti):si applicano ai denti faccette di dimensione leggermente più grandi di quella della superficie di applicazione, in modo da riempire gli spazi vuoti.
- Otturazioni con difetti di colore, risultato del deterioramento di otturazioni una volta bianche.
- Denti con anomalie di forma come la forma conoide (una delle anomalie più frequenti) o
dove esista la necessità di trasformare la
forma di un dente in un altro. - Denti che presentano difetti dello smalto, quali l’amelogenesi imperfetta. Per simili correzioni si richiedono tecniche cliniche e di laboratorio molto sofisticate, oltre a una grande perizia tecnica.
- Denti abrasi, quale risultato di processi erosivi: chimici (vomito da bulimia, abuso di bevande acide) meccanici (bruxismo quindi digrignamento notturno e non corretto spazzolamento).



